 
 Your Denton Dentist
 
 Opening Hours
| Day | Hours | 
|---|---|
| Monday | 8:30 a.m. - 5:30 p.m. | 
| Tuesday | 8:30 a.m. - 5:30 p.m. | 
| Wednesday | 8:30 a.m. - 5:30 p.m. | 
| Thursday | 8:30 a.m. - 5:30 p.m. | 
| Friday | 8:30 a.m. - 3:00 p.m. | 
| Saturday | 8:00 a.m. - 2:00 p.m. | 
| Sunday | Closed | 
Your Denton ROOT CANAL EXPERTS
Frequently Asked Questions
Feeling anxious about a root canal?
Modern advancements have transformed root canals into comfortable procedures. Local anesthesia minimizes discomfort, and many patients report a relaxed experience. Our experienced team is here to guide you through the process with care.
Will a root canal weaken my tooth?
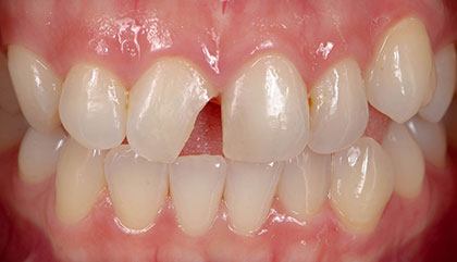
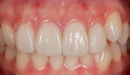
It's true that larger back teeth, especially molars, can be more susceptible to fractures after a root canal due to a loss of blood supply. However, this risk is relatively low. To address this potential concern, dentists often recommend placing a crown on back teeth after the procedure for added strength. Front teeth typically don't require crowns following a root canal.
Can I get a root canal today?
At Today Dental of Denton, we prioritize your well-being and understand the urgency of resolving dental issues. We reserve specific slots in our schedule for same-day root canals, aiming to get you out of pain and back to your daily routine as quickly as possible. In the rare instance our office is closed, we'll collaborate with our partner clinic to ensure you receive prompt care.
I don't feel any pain, do I still need a root canal?
The absence of pain doesn't necessarily mean a healthy tooth. A root canal might still be necessary even when you experience no discomfort. This often signifies the tooth is "dead" due to a lack of nerve, which explains the absence of pain. However, the underlying infection can still spread and lead to serious complications like abscesses if left untreated. Our dentists utilize advanced diagnostic tools, including X-rays, to accurately diagnose your specific needs and recommend the most effective treatment option.
Extraction vs. Root Canal: Which option is right for me?
While extracting a tooth may seem like a quicker fix initially, it can often lead to greater financial burdens down the line. Replacing a missing tooth with implants or dentures can be significantly more expensive than saving the natural tooth with a root canal (and potentially a crown). Additionally, each tooth plays a vital role in maintaining the structure and function of your jaw, preventing surrounding teeth from shifting and causing misalignment. Choosing a root canal can not only save you money but also contribute to a long-term healthy and stable smile, preserving your natural teeth for optimal functionality and aesthetics.
 
  
  
  
  
  
  
  
  
  
  
  
  
  
  
  
  
  
  
 