Crowns...

Absolutely
Experience Matters.
0
Crowns cemented... and counting ;)

Your Denton Dentist

Owners of Today Dental

Today Dental Group Photo Denton

Less time getting a crown!

At Today Dental of Denton, we implement the most current techniques and technology to optimize the crown procedure and fine-tune our business practices, resulting in a significant reduction in the time spent in the dental chair.

Skilled dental specialists

Our Denton, Texas dentist has spent years perfecting the perfect crown. We’ve also fostered strong connections with local labs, ensuring exclusive use of top-notch porcelain and zirconia materials.

High quality, low cost!

We pledge to maintain high quality and use only the best materials available all while keeping costs low. Any savings we retain by being efficient we’ll pass on to you!

Conservative practices

In search of a dentist with a conservative approach? Your search ends here. We consistently adopt a conservative stance, particularly in the placement of dental crowns.

Painless appointments!

Choose from a range of sedation options, including IV sedation, conscious sedation, and nitrous oxide. We pride ourselves in using pain free techniques so you never have to clench the dental chair again!

Ultimate strength and durability

Our crowns are meticulously designed for sustained resilience. We excel in the art of creating individualized crowns that harmonize seamlessly with the distinct features of your mouth.

Strongest crowns

Feel confident smiling again! We never compromise on quality, using the latest technology and products available. Zirconia, porcelain, and gold crowns are available to fit your needs.

Experienced dentists

Passionate about form, function and beauty! Extensive hours in Continuing Education courses and working with local labs = the perfect dental crown. At Today Dental of Denton, we value this wealth of expertise.

Saving money

At Today Dental of Denton, we optimize our crowns for efficiency, allowing us to keep dental treatment affordable. This guarantees a remarkable dental experience that aligns with your budget.

Conservative treatment

We prioritize conservative dentistry. Our goal is to preserve natural tooth structure through minimally invasive techniques. Our crown treatment focuses on saving tooth structure so you have that tooth for decades to come!

Fewer crown appointments

We simplify the crown procedure with cutting-edge technology, reducing appointments which increases efficiency. Spend more time with your family then at the dental office.

Pain free treatment

Sedation options at Today Dental of Saginaw make for an amazing, painless experience. Call us today to inquire about IV sedation, conscious sedation and nitrous oxide.

Great Crowns are Backed by Great Warranties

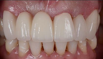
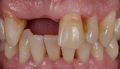
before
after
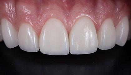
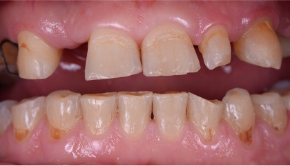
before
after
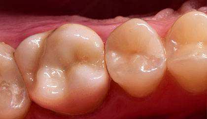
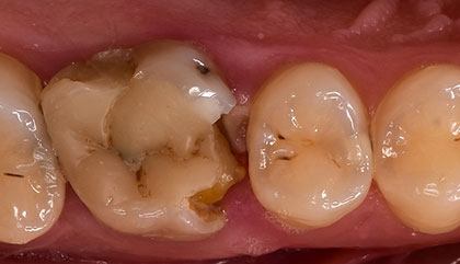
before
after
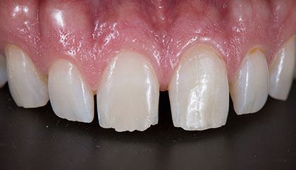
before
after

Opening Hours

DayHours
Monday8:30 a.m. - 5:30 p.m.
Tuesday8:30 a.m. - 5:30 p.m.
Wednesday8:30 a.m. - 5:30 p.m.
Thursday8:30 a.m. - 5:30 p.m.
Friday8:30 a.m. - 3:00 p.m.
Saturday8:00 a.m. - 2:00 p.m.
SundayClosed

YOUR Denton TEAM

Denton Office
Denton Office
Denton Office
Denton Office
Denton Office
Denton Office
Denton Office
Denton Office
Denton Office
Denton Office
M
Marilyn

They took great care of me!! They always make sure I’m comfortable and okay during any procedure, and are always very welcoming. I appreciate all the work they do, and will continue to stay with the company for as long as possible!

EK
Emily K.

I loved my visit -- both the hygienist and doctor were kind, conversational, and helpful. I have dental anxiety & they really helped me feel calm & collected. I appreciate it & will definitely return!

FG
Faye G.

Absolutely love coming here for Dr. Rongali and Josh! The staff here is always so sweet and knowledgeable and I never have stress about setting up appointments. As a previous dental assistant myself I'm very picky with offices but love it here!

RK
Robert K.

The staff and dentist at the Denton location were great. They we very patient with my son. They also made the insurance process and paying for the days services as easy as possible. We will be back next week for an ortho consult.

You’ve made it this far. . .

FREE Teeth Whitening

Just ask at your first visit

Your Denton CROWN & Bridge EXPERTS

Frequently Asked Questions

What’s the timeframe?

Crowns and bridges typically involve two visits, spaced a few weeks apart. But if you have a chipped front tooth, for instance, crowns can be done quicker. While some places offer same-day crowns, our experience shows crowns made in our on-site lab using high-heat techniques are way better. At Today Dental of Denton, our top priority is making sure your crown or bridge lasts a long time and feels great!

Cash flow a little tight?

Dental crowns are often a more budget-friendly option compared to root canals with crowns, implants, or dentures. We get it, affordability matters! Today Dental offers various options to fit your needs, like an in-house savings plan and flexible payment plans. Plus, the price of a crown depends on where it goes in your mouth and the material used, like porcelain or zirconia. Expect to pay somewhere between $900-$1,400 if you're paying out of pocket, but dental insurance can help lower the cost.

Wondering what happens at your first appointment?

We prioritize efficiency at Today Dental of Denton. When you arrive, we'll greet you with a smile and show you to the treatment area. To get a clear picture of your mouth, we'll take digital pictures and X-rays. The dentist will then do a thorough check-up and ask if anything feels uncomfortable. If they find any cracks or decay, they might recommend a crown. In most cases, we'll try to start treatment on the same day, because we know waiting stinks! After prepping your tooth for the crown, the dental hygienist will put on a temporary one. We'll take an impression of the prepared tooth, and then you'll come back in 2-3 weeks for your permanent crown.

Confused about dental bridges?

Think of a dental bridge like a crown, but for missing teeth. It's basically two or more crowns stuck onto the teeth on either side of the gap (called abutment teeth), with one or more fake teeth (pontics) filling the space in between. The abutment teeth act like anchors, and the pontic fills the gap and makes your smile look and work better. Bridges can be made from different materials like porcelain or zirconia, and they're securely attached to your natural teeth for maximum stability. While bridges are a convenient way to replace one or two missing teeth, they might not be the best solution for a lot of missing teeth. A dental professional can help you figure out what's best for you.

Unsure if a dental crown is right for you?

At Today Dental of Denton, we believe in saving your natural teeth whenever possible. We think natural teeth are the best, hands down! So why consider a crown? Well, crowns basically save your teeth by protecting them compared to options like implants or dentures that involve removing teeth. Plus, crowns are a quick and easy way to fix weak, cracked, or decayed teeth. They can also make your smile look and function way better!