
Your Denton Dentist

Opening Hours
Day | Hours |
---|---|
Monday | 8:30 a.m. - 5:30 p.m. |
Tuesday | 8:30 a.m. - 5:30 p.m. |
Wednesday | 8:30 a.m. - 5:30 p.m. |
Thursday | 8:30 a.m. - 5:30 p.m. |
Friday | 8:30 a.m. - 3:00 p.m. |
Saturday | 8:00 a.m. - 2:00 p.m. |
Sunday | Closed |
Your Denton DENTURE EXPERTS
Frequently Asked Questions
Short on time? Consider dentures!
While dental implants can take a year or more, dentures can be crafted in just a few weeks. Need a quicker solution? We offer expedited services with temporary options available within 1-2 business days. The typical process involves 2-3 appointments spread over 3-4 weeks, depending on factors like new vs. replacement dentures, healing time, and the specific type chosen.
Are dentures affordable for you?
Compared to other tooth replacement methods, dentures are often a cost-effective option, especially with insurance coverage. They generally range from $550 to $2,000, depending on the number of missing teeth, the material and type of denture, and your insurance coverage. We also offer an In-Clinic Savings Plan for patients without insurance.
What to expect during your consultation?
During your initial consultation, the dentist will discuss your options in detail, outlining the entire process, timeline, and associated fees. They may also take digital impressions of your mouth on the same day to streamline the denture creation process, minimizing the number of appointments required.
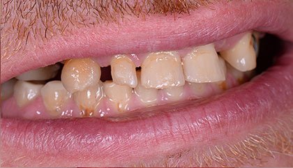
Can dentures improve your well-being?
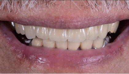
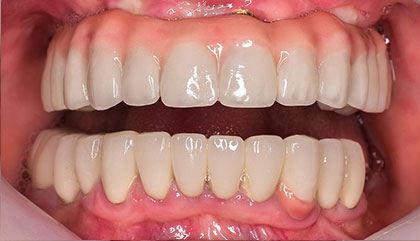
Absolutely! Dentures can significantly enhance your overall well-being by allowing you to eat, speak, and smile with confidence again. Whether you're missing a few teeth or need a full set, dentures offer a versatile and accessible solution. Beyond functionality, dentures can even benefit your facial structure by maintaining natural contours and preventing the sagging that can occur with tooth loss. We offer various options, including full dentures, partial dentures, and implant-supported dentures, to find the perfect fit for your specific needs and lifestyle.
Do you offer denture repairs?
Certainly! We prioritize patient convenience, aiming to repair your dentures in 1-2 days in most cases. Whenever possible, we utilize advanced techniques to focus on preserving and revitalizing your existing dentures. If repairs are viable, it's generally a faster and more cost-effective option compared to complete replacements. Your satisfaction and well-being remain our top priorities!