
Your Denton Dentist

Opening Hours
Day | Hours |
---|---|
Monday | 8:30 a.m. - 5:30 p.m. |
Tuesday | 8:30 a.m. - 5:30 p.m. |
Wednesday | 8:30 a.m. - 5:30 p.m. |
Thursday | 8:30 a.m. - 5:30 p.m. |
Friday | 8:30 a.m. - 3:00 p.m. |
Saturday | 8:00 a.m. - 2:00 p.m. |
Sunday | Closed |
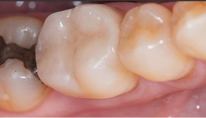
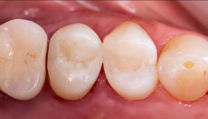
Your Denton DENTAL FILLING EXPERTS
Frequently Asked Questions
How long does a filling usually take?
Think 15-30 minutes per section of your mouth (like your upper right side) after the initial exam. We try to get all your fillings done in one shot whenever possible, saving you precious time.
How much does it cost?
Fillings are generally the most wallet-friendly way to fix up a tooth. The price depends on two things:
- Location: Fillings on teeth further back tend to be a bit pricier than those on front teeth.
- Number of surfaces filled: The more surfaces (out of six) needing work, the higher the cost.
- Insurance stuff: Don't worry about insurance! In most cases, it covers 80% to 100% of the cost. If you don't have insurance, no problem! We offer an in-office discount plan (CareDent) that's basically like having insurance.
What happens during the appointment?
Sometimes the dentist might numb the area before the procedure, but for minor stuff, anesthesia might not be needed. They'll then use a special tool to remove any decay or cracks in the tooth. After that, they'll fill it with a tooth-colored resin that hardens with a light. Finally, they'll adjust your bite and polish the filling, and you're good to go.
Why get a filling?
At Today Dental of Denton, we're all about keeping your natural smile as much as possible. That's why fillings are often a better option than crowns. Our dentists only recommend what you absolutely need, and they treat everyone like family. Basically, you're in good hands!
Do you fix old fillings?
Absolutely! Whenever possible, we prefer to patch up existing fillings instead of replacing them entirely. However, if there's decay, the dentist might need to remove the whole thing. We'll always try to save any previous dental work as long as it doesn't affect the tooth's function or durability.