Dental Cleanings

Never Felt So Clean

Your Denton Dentist

Owners of Today Dental

Today Dental Group Photo Denton

Advanced Ultrasonic cleanings

Experience the next level of oral hygiene at Today Dental of [Office Location] with ultrasonic cleanings. Our commitment to excellence includes the use of cutting-edge tools like the Cavitron and laser for an exceptional cleaning process.

Quicker appointments

Opt for a quicker dental visit with reduced chair time. Swift seating, fast teeth cleaning, and you’re in and out. It’s a straightforward and time-efficient procedure.

Smooth and gentle cleanings

Say no to poking and prodding! At your Denton dentist, heavy-handed dental cleanings are not in our playbook. Experience gentle fingertip pressure for a thorough cleaning without any chair-jumping episodes.

Cleanings with no pain

Today Dental of Denton prioritizes pain-free dental cleanings, employing technology and a gentle touch. Take advantage of our three sedation options: IV sedation, conscious sedation, and nitrous oxide, ensuring your comfort throughout the process.

Reduced costs

Today Dental prioritizes your financial wellness. With the incorporation of lasers and ultrasonic scalers, we’ve streamlined cleaning appointments, saving you time and money.

Ultrasonic cleanings

It’s not your grandpa’s cleaning! At Today Dental of Denton we closely follow and utilize the best dental cleaning techniques and technologies. We use the Cavitron and, if needed, the laser to get a better cleaning in less time!

Saving money

We don’t rush, but have shortened the cleaning appointment by utilizing the latest technology (lasers and ultrasonic scalers). Less time = money saved. We pass those savings to you!

Less time in the dental chair

Experience, technology and efficient patient flow allows us to get you seated quickly, get your teeth cleaned and you’re done. It’s that simple.

Soft touch

No ones likes to be poked and prodded! Heavy-handed dental cleanings are against everything we stand for at your Denton dentist. Fingertip pressure only so your teeth get cleaned without jumping out of the chair!

Pain free treatment

Not only do we use technology and a soft touch for pain free dental cleanings, we have 3 sedation options at Today Dental of Denton. IV sedation, conscious sedation and nitrous oxide. If you need it, we have you covered!

Better Teeth Better Health

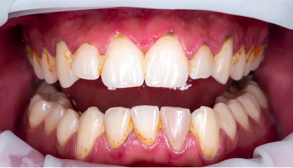
before
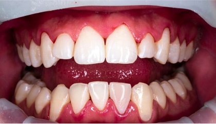
after
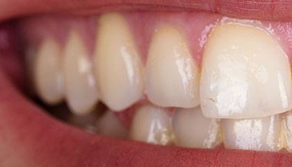
before
after
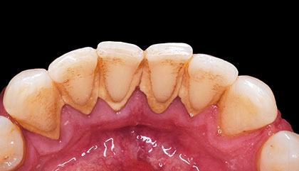
before
after
before
after

Opening Hours

DayHours
Monday8:30 a.m. - 5:30 p.m.
Tuesday8:30 a.m. - 5:30 p.m.
Wednesday8:30 a.m. - 5:30 p.m.
Thursday8:30 a.m. - 5:30 p.m.
Friday8:30 a.m. - 3:00 p.m.
Saturday8:00 a.m. - 2:00 p.m.
SundayClosed

YOUR Denton TEAM

Denton Office
Denton Office
Denton Office
Denton Office
Denton Office
Denton Office
Denton Office
Denton Office
Denton Office
Denton Office
M
Marilyn

They took great care of me!! They always make sure I’m comfortable and okay during any procedure, and are always very welcoming. I appreciate all the work they do, and will continue to stay with the company for as long as possible!

EK
Emily K.

I loved my visit -- both the hygienist and doctor were kind, conversational, and helpful. I have dental anxiety & they really helped me feel calm & collected. I appreciate it & will definitely return!

FG
Faye G.

Absolutely love coming here for Dr. Rongali and Josh! The staff here is always so sweet and knowledgeable and I never have stress about setting up appointments. As a previous dental assistant myself I'm very picky with offices but love it here!

RK
Robert K.

The staff and dentist at the Denton location were great. They we very patient with my son. They also made the insurance process and paying for the days services as easy as possible. We will be back next week for an ortho consult.

You’ve made it this far. . .

FREE Teeth Whitening

Just ask at your first visit

Your Denton DENTAL cLEANING EXPERTS

Frequently Asked Questions

Need an appointment fast?

Look no further! We prioritize same-day appointments at Today Dental, understanding the importance of prompt and convenient care. Should our office be unexpectedly closed, we'll connect you with a nearby sister clinic for seamless scheduling.

Wondering about ultrasonic cleaning?

It's like a spa day for your teeth! This advanced technology uses sound waves and a special solution to gently remove plaque, tartar, and stains, offering a more comfortable and efficient experience than traditional cleaning methods.

Concerned about needing a "deep cleaning"?

Our experienced team excels in scaling and root planing (deep cleanings). We'll thoroughly assess your oral health and develop a personalized treatment plan tailored to your specific needs. At Today Dental, personalized care is paramount.

Thinking a regular cleaning will suffice before a deep cleaning?

While regular cleanings are crucial, they're not recommended for individuals requiring a deep cleaning due to gum disease. Deep cleaning addresses advanced plaque and tartar buildup below the gumline, necessitating specific treatment. In some cases, a preliminary debridement cleaning might be necessary to prepare your teeth for the deep cleaning.

Curious about appointment times?

The duration depends on various factors like your patient status and the procedure needed. Typically, routine cleanings with exams and X-rays take an hour for returning patients and an hour and a half for new patients. Deep cleanings (scaling and root planing) usually require a separate appointment, lasting anywhere from one to three hours, depending on the severity of the case.